
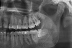
Die dritten großen Backenzähne (Molaren) nennen wir umgangssprachlich Weisheitszähne. Sie werden häufig erst mit einer Panoramaschichtaufnahme (PSA oder OPG) entdeckt und treten als letzte bleibende Zähne in die Mundhöhle ein. Sie unterscheiden sich teilweise gravierend in Anatomie, Form und Lage von anderen Backenzähnen.
Daher ist die operative Entfernung der Weisheitszähne einer der am häufigsten durchgeführten chirurgischen Eingriffe in der Zahnheilkunde. Diese muss nicht immer erfolgen, aber in vielen Fällen sprechen Gründe dafür, einen oder mehrere Weisheitszähne operativ zu entfernen. Massive Stellungsanomalien, bei denen die Weisheitszähne in falsche Richtungen wachsen, oder eine bereits erfolgte Zerstörung durch Karies können wie auch Durchbruchstörungen die Notwendigkeit einer Entfernung begründen. Oftmals ist vor einer geplanten kieferorthopädischen Behandlung die Entfernung zu diskutieren.
Dieses analysieren wir in der Zahnärztlichen Praxisgemeinschaft Kampnagel vorab. Unter Umständen wird zur vollständigen Abklärung ergänzend zur herkömmlichen Panoramaschichtaufnahme eine Digitale Volumentomographie (DVT) erforderlich. In einem Aufklärungsgespräch werden hiernach Vorgehen, Risiken oder Alternativen mit Ihnen besprochen. Sollte eine Entfernung eines Zahnes bzw. der Zähne erforderlich sein, sind wir in der Zahnärztlichen Praxisgemeinschaft Kampnagel hierfür ideal aufgestellt. Bei drei oder vier zu entfernenden Weisheitszähnen streben wir eine Behandlung an zwei Terminen an, um es Ihnen im Rahmen der Möglichkeiten angenehmer zu gestalten.
Unser Oralchirurg Dr. Tobias Günther ist für diese chirurgischen Eingriffe bestens ausgebildet und hat tiefgehende Erfahrungen in diesem Bereich über viele Jahre sammeln können.